REACTIVOS ANATOMÍA PATOLÓGICAHibridación cromogénica in situ (CISH)

bt_bb_section_bottom_section_coverage_image

REACTIVOS Hibridación cromogénica in situ

Compatible con procesos manuales y automatizados

La hibridación cromogénica in situ (CISH)  es particularmente útil en entornos clínicos para estudiar biomarcadores y alteraciones genéticas asociadas con enfermedades como el cáncer. Al igual que otras técnicas de ISH, emplea métodos de detección cromogénica para visualizar las señales de hibridación.

En Vitro como parte de nuestra solución para el diagnóstico contamos con un completo portafolio de «reactivos listos para uso» de fácil manejo con protocolos optimizados, alta fiabilidad y compatibilidad con procesos manuales y automatizados.

https://vitro.bio/wp-content/uploads/2024/02/anticuerpos.png
https://vitro.bio/wp-content/uploads/2024/02/sistemas-de-deteccion.png
Sistemas de detección
https://vitro.bio/wp-content/uploads/2024/02/Inmunoflourescencia.png
Inmunoflourescencia
https://vitro.bio/wp-content/uploads/2024/02/reactivos-auxiliares-y-consumibles.png
Reactivos auxiliares y consumibles
CISH

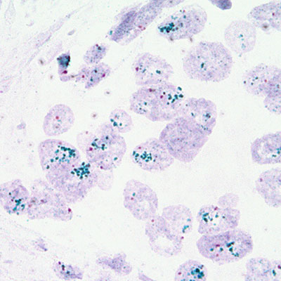
HER2/CEN17 Dual CISH

Este kit está diseñado para la detección simultánea del gen HER2 y del centrómero del cromosoma 17 en tejidos fijados en formalina tamponada e incluidos en parafina.
https://vitro.bio/wp-content/uploads/2024/09/HER2-CEN17.jpg

Epstein-Barr Virus (EBER)

Este kit está diseñado para la detección del ARN de EBER 1+2 en células infectadas por el virus de Epstein-Barr, sobre secciones de tejidos fijados en formalina tamponada e incluidos en parafina.
https://vitro.bio/wp-content/uploads/2024/09/EPSTEIN.jpg

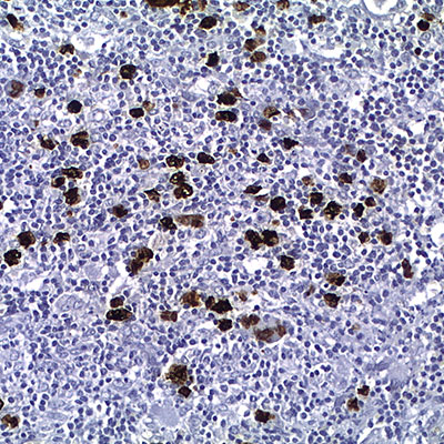
Kappa Light Chain

Este kit está diseñado para el estudio de monoclonalidad de cadenas ligeras Kappa en los tumores linfoides, mieloides y en otros Síndromes Linfoproliferativos, sobre secciones de tejidos humanos fijados en formalina tamponada e incluidos en parafina.
https://vitro.bio/wp-content/uploads/2024/09/KAPPA.jpg

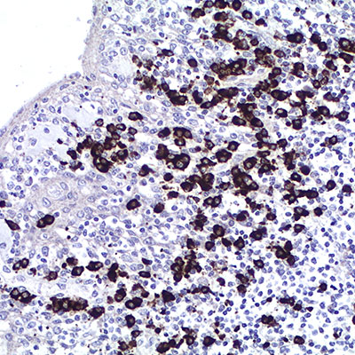
Lambda Light Chain

Este kit está diseñado para el estudio de monoclonalidad de cadenas ligeras Lambda en los tumores linfoides, mieloides y en otros Síndromes Linfoproliferativos, sobre secciones de tejidos fijados en formalina tamponada e incluidos en parafina.
https://vitro.bio/wp-content/uploads/2024/09/LAMBDA.jpg
Ventajas del uso de CISH

Entre sus ventajas destaca la capacidad de preservar la morfología del tejido, facilitando la correlación de la información molecular con la arquitectura celular y tisular. Además, esta técnica se utiliza a menudo en patología para analizar la amplificación y la expresión de genes,  así como anomalías cromosómicas en muestras de tejido.

Esta técnica permite la localización y visualización de secuencias de ácidos nucleicos específicas dentro de células o tejidos. Proporciona una representación visual de eventos moleculares dentro del contexto de la estructura del tejido, lo que ayuda a comprender los mecanismos de la enfermedad y las posibles aplicaciones de diagnóstico.

Lorem ipsum dolor sit amet, consectetur adipiscing elit.
bt_bb_section_top_section_coverage_image
Lorem ipsum dolor sit amet, consectetur adipiscing elit.

Lorem ipsum dolor sit amet, consectetur adipiscing elit.

https://vitro.bio/wp-content/uploads/2023/12/reactivos.jpg