REACTIVOS ANATOMÍA PATOLÓGICAInmunohistoquímica

Desarrollamos y comercializamos soluciones de última generación para el diagnóstico inmunohistoquímico (IHQ)

bt_bb_section_bottom_section_coverage_image

REACTIVOS Inmunohistoquímica

Un portfolio diseñado para aumentar la fiabilidad de los diagnósticos

Vitro produce y comercializa un completo portafolio de productos para diagnóstico inmunohistoquímico de alta sensibilidad que incluye anticuerpos primarios, sistemas de detección universales basados en micro polímeros y reactivos auxiliares que automatizamos en VitroStainer, nuestro equipo de inmunohistoquímica de última generación.

https://vitro.bio/wp-content/uploads/2024/02/anticuerpos.png
https://vitro.bio/wp-content/uploads/2024/02/sistemas-de-deteccion.png
Sistemas de detección
https://vitro.bio/wp-content/uploads/2024/02/Inmunoflourescencia.png
Inmunoflourescencia
https://vitro.bio/wp-content/uploads/2024/02/reactivos-auxiliares-y-consumibles.png
Reactivos auxiliares y consumibles
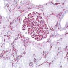
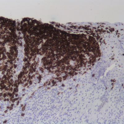
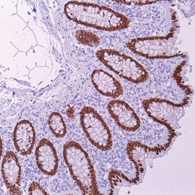
Inmunohistoquímica (IHC)

La inmunohistoquímica (IHC) es una técnica utilizada en el campo de la anatomía patológica y la investigación biomédica para visualizar la presencia, distribución y localización de proteínas específicas en muestras de tejido utilizando anticuerpos específicos y técnicas de tinción. La técnica de IHC es fundamental en la identificación de proteínas específicas en el tejido y es ampliamente utilizada en el diagnóstico de enfermedades, la caracterización de tumores, la investigación biomédica y la identificación de biomarcadores.

Un portfolio diseñado para aumentar la fiabilidad de los diagnósticos, mejorando la salud global

bt_bb_section_top_section_coverage_image

Inmunohistoquímica (IHC)

Lorem ipsum dolor sit amet, consectetur adipiscing elit. Quisque in mauris vitae risus tincidunt mollis. Nulla vel sem elit. Donec magna sem, egestas sed sollicitudin a, molestie ac diam. Nulla pellentesque, sem in euismod porttitor, nunc nibh consequat nisi, et rutrum lorem diam eu lorem. Orci varius natoque penatibus et magnis dis parturient montes, nascetur ridiculus mus. Aenean nec dolor sagittis, sagittis tortor pellentesque, pellentesque sapien. Nunc laoreet, purus at dapibus commodo, lectus turpis mollis metus, vel scelerisque libero purus at dui. Mauris quis condimentum elit, id tristique nulla. Mauris nec hendrerit erat, et rhoncus magna. Duis urna urna, mattis non convallis scelerisque, pellentesque non orci. Nullam mattis ullamcorper lectus, faucibus sagittis elit consectetur eget.

https://vitro.bio/wp-content/uploads/2023/12/principales-publicos-square-1280x1280.jpg
https://vitro.bio/wp-content/uploads/2023/12/laboratorio-details.jpg
https://vitro.bio/wp-content/uploads/2023/12/reactivos.jpg
https://vitro.bio/wp-content/uploads/2023/12/calidad-laboratorio.jpg
INMUNOHISTOQUÍMICA (IHC)

Productos relacionados